Volldigitale Mammographie mit zusätzlicher Option einer 3D-Tomographie


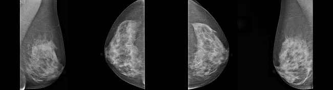
Mammographie

Unser Leistungsspektrum im Überblick

  • Primärdiagnostik
  • Postoperative Diagnostik (zum Beispiel zum Ausschluss eines Zweitkarzinoms oder Rezidivs)

Funktionsweise der digitalen Mammographie

Bei der digitalen Mammographie wird immer noch ein Röntgenstrahler notwendig.

Durch die Digitaltechnik kann die Strahlendosis reduziert werden.

Vorteil der digitalen Mammographie ist vor allem der bessere Weichteilkontrast bei gleicher räumlicher Auflösung.

Fehlbelichtungen treten durch die digitale Nachbearbeitungsmöglichkeit nicht mehr auf.



  zum Seitenanfang


© , "Villa am Roseneck" - Gesundheitszentrum · Dr. med. M.-C. Dulce - Facharzt für Radiologie · Hohenzollerndamm 104 · 14199 Berlin · Impressum