Knochendichtemessung


Knochendichtemessung

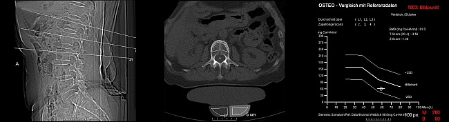
Funktionsweise der Knochendichtemessung (Osteodensitometrie)

Nach einem Orientierungsscout werden Schnitte durch den 1., 2. und 3. Lendenwirbelkörper (LWK) gelegt und zu einem Standardphantom korreliert. Es werden trabekuläre und kortikale Dichtewerte mittels CT gemessen.

Hieraus ergibt sich die Knochendichte (BMD) der gemessenen Wirbelkörper.



  zum Seitenanfang


© , "Villa am Roseneck" - Gesundheitszentrum · Dr. med. M.-C. Dulce - Facharzt für Radiologie · Hohenzollerndamm 104 · 14199 Berlin · Impressum